铭鸿体育资讯网
岑岑谈健康的文章
脑机接口+高清摄像头就能替代眼科各类疾病的治疗方案,脑机接口其实,不能只局限于康
2026-04-26 07:26
岑岑谈健康
脑机接口+高清摄像头就能替代眼科各类疾病的治疗方案,脑机接口其实,不能只局限于康
最近,整个医疗圈对脑机接口扶持力度非常大,从科研到临床,价格,医保,各个部门协同
2026-04-25 22:56
岑岑谈健康
最近,整个医疗圈对脑机接口扶持力度非常大,从科研到临床,价格,医保,各个部门协同
很久之前一次聚会上加一个朋友,也非同行,除了加微信的时候互相介绍了一下背景,有一
2026-04-25 18:34
岑岑谈健康
很久之前一次聚会上加一个朋友,也非同行,除了加微信的时候互相介绍了一下背景,有一
猪肉价格跌破每斤6元抄了点牧原,目前亏2个点,有希望回本么?猪肉这个价格,的确很
2026-04-25 15:23
岑岑谈健康
猪肉价格跌破每斤6元抄了点牧原,目前亏2个点,有希望回本么?猪肉这个价格,的确很
目前肠镜从肛门到末端回肠,进镜时间已经稳定在2-3分钟左右,这在国内也是可以的。
2026-04-25 14:12
岑岑谈健康
目前肠镜从肛门到末端回肠,进镜时间已经稳定在2-3分钟左右,这在国内也是可以的。
共持有两只银行股,工行,招商,工行17个点了,招商还是亏,两个的PE差不多,为啥
2026-04-24 23:52
岑岑谈健康
共持有两只银行股,工行,招商,工行17个点了,招商还是亏,两个的PE差不多,为啥
这种供血极为丰富的长蒂息肉,底部用钛夹封闭血供,再电切掉,是比较安全和效率很高的
2026-04-24 23:50
岑岑谈健康
这种供血极为丰富的长蒂息肉,底部用钛夹封闭血供,再电切掉,是比较安全和效率很高的
病理读片观察要点:一、先确认「基本信息」(读片前必做)1. 标本来源与部位:明确
2026-04-24 22:17
岑岑谈健康
病理读片观察要点:一、先确认「基本信息」(读片前必做)1. 标本来源与部位:明确
家长向老师索要试卷引发激烈争执这事很火,估计比较接地气,到有两个值得复盘的地方,
2026-04-24 20:56
岑岑谈健康
家长向老师索要试卷引发激烈争执这事很火,估计比较接地气,到有两个值得复盘的地方,
爱喝无糖饮料的天塌了这事上了几次热搜了,似乎到现在也没有明确定论,我是这无糖饮料
2026-04-24 13:20
岑岑谈健康
爱喝无糖饮料的天塌了这事上了几次热搜了,似乎到现在也没有明确定论,我是这无糖饮料
晚餐一定要少吃。不然非常影响睡眠质量,看来一天就吃中午一顿是合适的
2026-04-24 06:37
岑岑谈健康
晚餐一定要少吃。不然非常影响睡眠质量,看来一天就吃中午一顿是合适的
近视神药真有这么神吗我有点想试试,不知道成年人能用么。低浓度阿托品跟踪很久了,小
2026-04-23 23:10
岑岑谈健康
近视神药真有这么神吗我有点想试试,不知道成年人能用么。低浓度阿托品跟踪很久了,小
最近娱乐圈可能真的急了,捍卫肖像权,我到无所谓,谁如果想用我的肖像去做AI短剧,
2026-04-23 21:23
岑岑谈健康
最近娱乐圈可能真的急了,捍卫肖像权,我到无所谓,谁如果想用我的肖像去做AI短剧,
医疗这行实际上是不断迭代的,总体来说,现在优于过去,未来优于现在。记得以前还有肝
2026-04-23 21:21
岑岑谈健康
医疗这行实际上是不断迭代的,总体来说,现在优于过去,未来优于现在。记得以前还有肝
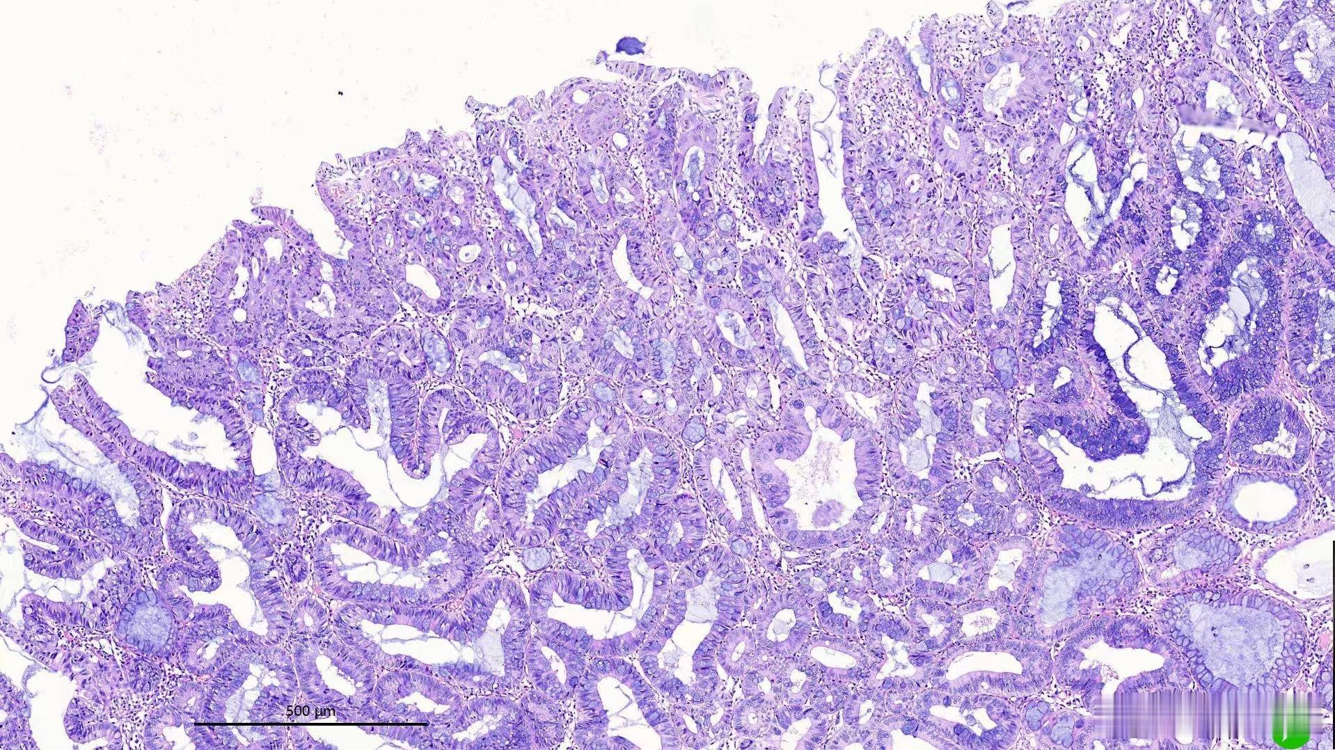
泌酸腺腺瘤(Oxyntic Gland Adenoma, OGA)定义:2019
2026-04-23 18:16
岑岑谈健康
泌酸腺腺瘤(Oxyntic Gland Adenoma, OGA)定义:2019
第一页
作者信息
岑岑谈健康
感谢大家的关注
分类: 健康
热门分类
体育
NBA
国际足球
中国足球
亚洲杯
科比
综合体育
CBA
推荐
热榜
军事
社会
明星八卦
娱乐
财经
科技
汽车
历史
国际
游戏
动漫
公益
搞笑
商业
互联网
数码
房产
家居
时尚
科学探索
职场
育儿
股票
教育
影视
情感
热点
中国军情
武器
中国南海
投资
楼市
大咖秀
外汇
创业
风口
SUV
豪车
概念车
优惠
新能源
美国
欧洲
朝日韩
俄罗斯
孕期
街拍
恋爱攻略
婚姻
正能量